This blog is the sequel to two preceding articles in which I explained how my Berner boy Pasha developed a chronic limp and how I took him to a specialised Pet Hospital for a CT-scan in order to get a more clear diagnosis on him. We left off at the point where Pasha had just come out of the scanner and I was duly dispatched because I made very clear I would raise all kinds of hell if he would wake up without me near him. It’s the type of dog owner I am… The Doctor, an assistant and yours truly were just all installed in the computer room to look at his scan when Pasha woke up in my arms…
Diagnosing a limping dog with a CT scan
While Pasha happily slipped back into a nap to my petting and stroking, the doctor showed me the scan and gave me his analysis of the imagery. To my astonishment, he said he’s seeing a ‘rather good’ set of shoulders and elbows (!), nothing in the way of arthritis (!!), and basically nothing in the way of elbow dysplasia (!!!). He did point to the same areas where our regular vet had diagnosed signs of elbow dysplasia and Fragmented Coronoid Process (FCP) out, but this doctor wiped them off the table as “nitpicking”. Well, insert dumbfounded look here. Our regular vet, who developed himself into a fine specialist surgeon for movement problems over the years, will probably still be on a well-deserved holiday break when I publish this article but I can hardly wait to discuss this scan with him! He’s the vet who made the x-rays in 2016 and last month and who called for arthritis/elbow dysplasia as a tentative diagnosis. I also still don’t have the radiologist’s second opinion at this point, which I’m equally curious about. Anyway, both the doctor and I swiftly moved on to this question: if Pasha has indeed good shoulders and elbows, than what is ailing him? The doctor reasoned it could very well be something in the softer tissues. Think a strained muscle or maybe a tear in a tendon or something. This sure sounded logical to me, but in the back of my head, I also thought about the back and neck hernias Misha and Bromley were diagnosed with during a previous life…
- I really don’t know what we’re looking at on this part of the ct scan. Other than it’s Pasha’s left.
- I really don’t know what we’re looking at on this part of the ct scan. Other than it’s Pasha’s right.
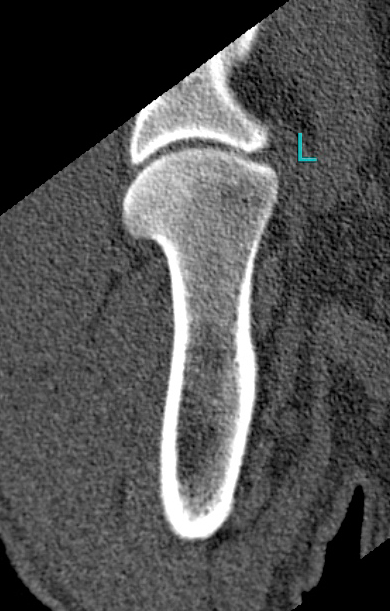
- This is also left. Mind, that the leg he limps with but that looks the best on both the x-rays as the ct-scan.
- Left leg once again
- This is some other still from the ct-scan with green arrows on it. I’ll try to explain in the next blog.
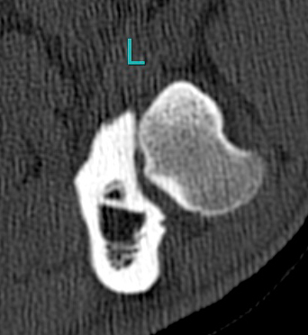
- Well this is clearly a view on a joint. Also left.
A proposed treatment plan for Pasha
The doctor proposed to give Pasha a cortisone injection. I quickly retorted Pasha already got one of those last month (it was prednisone but my gut feeling said it’s the same sort of “thing”) and that it gave him some relief, but certainly didn’t fix the problem. This remark made the doctor look a little surprised. “Hmm. I can’t remember reading that in Pasha’s medical files, let me check…”. Sure enough, a couple minutes later, I got confirmation my memory for this sort of thing still serves me reasonably well. “Pasha got indeed an injection last month, but that was in the joint. I propose to give him a cortisone injection the traditional way, into the bloodstream. That way it should be able to reach any problematic soft tissue better.” And then I remembered how the regular vet had taken a little liquid out of pasha’s elbow joint out of the joint, remarking “that’s good looking engine oil” and then proceeding to essentially replace it with a dose of prednisone. Yeah, so we’re going to put more chemicals into my dog, wonderful.
Cortisone injections for limping dogs
In spite of having lived with big dogs for 11 years (and counting) and having taken three out of five of the Bernese Mountain Dogs I owned so far through major medical procedures, I really don’t know all that much more about vet practice and canine medication as the next dog owner. Still, long before I even became a dog owner, I developed a strong aversion to chemicals, as far as those going into living beings are concerned. Whether it’s in the water we drink, the air we breathe, our food or as medicine, I don’t like it. Regardless of whether we’re talking humans or animals here, personally, I’d rather go natural. So, what I do know is that Cortisone is basically a stress hormone. Alarm bells. It’s actually the stuff that slowly kills a lot of people because they live lives full of stress (pot-kettle moment). And that’s pretty much all I could reproduce from the top of my head. So, why would we shoot a limping dog up with stress-hormones, I wonder? I mean the mantra I run this pack with is: “stress is the enemy”, so yeah, questioning looks at Herr Doctor at this point. Well, the reason it’s a medical treatment is of course that as a side effect, cortisone also boosts tissue repair processes. Dogs release this hormone themselves as part of the whole fight-or-flight deal (got stress much?) so there you have it. Or is that the main effect of these hormones and the stress a side effect? What even is canine stress exactly? You tell me. Then the doctor said this: “Either give cortisone another go for two tenners with an in my estimation 60-70% chance of success or make a 1000-euro MRI scan.” Well, so much for principles I’m afraid, pragmatism won the day again. Hey ho. In the same discussion, the Doctor agreed with a second opinion most gracefully. No surprise there. As I said in my previous blog, worked with the chap before, he’s experienced and not an idiot and he actually offers this as a service on his website as well.
How big dogs recover from narcotics
When the treatment plan and further steps were agreed upon, yet another vet tech showed up to help me roll Pasha’s table with the Pasha still snoozing on it to the recovery ward. A sizeable enough space with a lot of windows separating the adjacent corridor and the opposite wall fitted with kennels in various sizes. In front of the kennels a floor space of about 3 by 6 meters I estimate (I’m a metric person. Sorry.). The vet tech started steering the table towards a large opened kennel in the corner. “Oh we don’t need to put Pasha in that, let’s just lie him down on the floor here. I’ll stay with him and make sure he’s good.” Plenty of room for my big dog there and absolutely no room for argument. The last time there was some sort of argument about any of my dogs going in a kennel was in 2011 when Stockard ended up waking up in a kennel he had to share with a big hulking Dutchman (Cellmates for life Stockard! <3 ). Anyway, the vet tech and I lifted Pash (I always take the head side) off the table and gently onto the floor, after which she went to fetch the cortisone injection. As soon as Pasha was installed I sort of instinctively inspected him, got a whiff of an all too familiar smell, opened his right ear flap and promptly exclaimed: “Well! While we’re here anyway, have a look at this!”
Bloody stinking hotspots!
So, it turns out while the two vets and the small army of assistants on site didn’t discover much of anything, I sure did. Pash had budding hotspots on the inside of his right ear flap. Think Aubrey’s ordeal from a couple months ago but thankfully in a much earlier stage. Quite sure if I would have caught that much later and it had gotten a chance to fester overnight I would have had another dog with oozing & foul-reeking hotspots all over his head and running a fever on my hands. The assistant immediately went to fetch Il Dotore™ once more and at one glance of Pasha’s ear he knew enough. “What shall it be, Mr. H? Cream or antibiotics?”. “The latter” I promptly replied. “We understand one another Mr. H. It will be ready for you at the reception.” 😀 No, really, I’ve worked with worse vets than this one. 😉
Abandoned pets circus
I dare say my mere presence in the room put Pasha enough at ease to just take it easy and have another nap on the floor next to me. By this time I finally had a chance to take a closer look at the cages. I think all of them except the big one reserved for Pasha occupied, a range of dogs varying from small to small-medium size and one young looking cat. And get this dear reader, all of them wide awake! I made a little video clip of Pasha recovering from the narcotics and filmed this sorry lot too. If you turn the volume way up you can hear me whispering: “where are all your people?” in this video.
Why pet owners leave their pets alone at such moments and places I’ll never understand. I mean, your pet just came out of surgery, right? For Pete’s sake. Stuff is hurting, they’re probably still nauseous from the narcs, not feeling 100% at all, penned up in a kennel in a strange place, confused, scared, stressed (helloooo!!!!???)… where the effin hell are you, owner?! I’ve seen it happen quite a few times at the many vet clinics I ended up in during my ‘dog-career’ so far: people dropping Fido off early in the morning for a procedure that could take two hours max while saying: “righto, I’ll come collect him between 5 and 6. Be good now Fido!”. And off to work they go. Unbelievable. In one of the corners a doggy that looked like an older Weimaraner was particularly moaning about her current situation. She had one of those post-surgery collars on, her back sat up against the gate of her cage and moaning away. When the vet tech came back with Pash’s injection and after she administered it I asked her the name of the dog. I have forgotten by now but it started with a F. And there I sat with my left hand stroking my Pasha and my right through the bars of the cage petting this distraught dog I don’t know and talking to her. And I don’t even like Weimaraners as a breed! At all… Still, a dog is a dog, isn’t she. Pasha took about 10 more minutes before he indicated he’d like to get up on his paws. Floors in vet clinics and hospitals are always sterile (supposedly) and thus slippery and therefore I help any big dog up. Especially when I brought him in lame to begin with and he’s still groggy from narcotics. All of this is logical, yes?
After-effects of the narcotics
Like most Berners and other big dogs, Pash doesn’t do very well with narcotics and I could clearly tell by how I had to support him as he made his way back into the waiting area. Pash was still rather weak and groggy. A young man sitting in the waiting area saw us coming in and exclaimed: “That’s a beautiful dog sir! How old is he?” That’s why I wrote Pasha is a show dog earlier. Even when completely whacked out of his head and walking like a drunk he’s still a stunner. -proud face- I thanked the chap for the compliment and told him Pasha is four. Meanwhile Pasha sighed down in front of the counter for another quick nap while I collected the anti-biotics for the hotspots. If I recall correctly he slept a good deal in the car and only became a little livier again about halfway on the road to home.
Conclusion on the expedition
So, in hindsight, this CT scan looks like it’ll be a grand waste of money I could have put forward to Pasha’s treatment plan instead. But yeah, not easy to draw up the perfect plan when you don’t have a clear diagnosis. And when the patient can only tell you so much about what’s wrong with him bless his soul. Woof. Maybe, in hindsight of course, I should have gone for an MRI scan instead. I honestly don’t know. It would have cost me about €300 more than the ct scan for one thing… See? I may have come across as Mr. Awesome Dog Owner in these three blogs (didn’t really mean to if I did), but down to the core, I’m just like the next person who falters and missteps at times. With Pash and this CT-scan I think I’m hoping our regular vet and the radiologist draw the same diagnosis as this vet in Friesland did. I mean, to know that at least Pasha’s front propulsion system consists of proper hardware is some sort of progress, right?
Where to go from here I’m not entirely sure yet. That will largely depend on the outcome of the second opinions. I also opened communications with an animal physiotherapist, should be interesting what he might have to say when he sees Pasha. And the other boys as well for that matter. In short: to be continued!





































